Cho em hỏi bên mình có tiêm vắc-xin cúm cho bé ko ạ? (27/07/2025)
Trả lời:
Chào bạn, Bệnh viện hiện có tiêm vắc-xin cho các bé. Tuy nhiên, các loại vắc-xin thường về theo từng đợt, không phải lúc nào cũng có sẵn.
Cho em hỏi, mổ 2 lần thai rồi có thể mang thai thứ 3 được không ạ? (15/07/2025)
Trả lời:
Chào bạn, Với những trường hợp đã sinh mổ 2 lần, việc mang thai lần 3 vẫn có thể thực hiện được. Tại Bệnh viện, chúng tôi đã tiếp nhận và hỗ trợ nhiều thai phụ có nhu cầu tương tự.
Xin chào, cho tôi hỏi chủ nhật có hiến máu được không ạ? (09/07/2025)
Trả lời:
Chào bạn, Bạn hoàn toàn có thể đến hiến máu vào ngày Chủ Nhật.
Cho tôi hỏi, nếu muốn điều trị mụn thì có cần đăng ký khám tại Khoa Khám bệnh không ạ? (01/07/2025)
Trả lời:
Chào bạn, Khoa Khám bệnh là nơi tiếp nhận và khám ban đầu cho tất cả các trường hợp, bao gồm cả điều trị mụn. Vì vậy, bạn cần đăng ký khám tại Khoa Khám bệnh trước.
Xin cho em hỏi, bệnh viện có thực hiện khám sức khỏe vào cuối tuần không ạ? (18/06/2025)
Trả lời:
Chào bạn, Bệnh viện có khám sức khỏe theo yêu cầu vào sáng thứ Bảy. Nếu bạn có nhu cầu, vui lòng đặt lịch trước để được sắp xếp thời gian phù hợp.
Em bị mất thẻ bảo hiểm y tế và hiện chỉ có thẻ điện tử trên ứng dụng VssID. Vậy khi đến khám tại bệnh viện, em có thể sử dụng thẻ trên ứng dụng hay cần mang theo thẻ giấy không (13/06/2025)
Trả lời:
Chào bạn, Bạn hoàn toàn có thể sử dụng thẻ BHYT đã tích hợp trên ứng dụng VssID khi đến khám và không cần mang theo thẻ giấy.
Em nghi ngờ mình bị nhiễm HPV. Vậy em cần làm những gì và chi phí như thế nào ạ? Em đã test que test nhanh tại nhà cho kết quả 1 vạch nhưng vẫn hơi lo lắng ạ. (25/05/2025)
Trả lời:
Chào bạn, Chúng tôi hiểu rằng bạn đang có những lo lắng về nguy cơ nhiễm HPV. Tại Bệnh viện Việt Nam - Thụy Điển Uông Bí, chúng tôi cung cấp các dịch vụ thăm khám và xét nghiệm chuyên sâu để phát hiện sớm HPV và tầm soát ung thư cổ tử cung.
Cho mình hỏi bệnh viện có dịch vụ tiêm các mũi vắc-xin cho trẻ dưới 2 tuổi không ạ? (05/04/2025)
Trả lời:
Chào bạn, Bệnh viện Việt Nam - Thụy Điển Uông Bí hiện có triển khai dịch vụ tiêm vắc-xin cho trẻ dưới 2 tuổi.
Cho em hỏi, bệnh viện mình có khám bàn chân bẹt cho trẻ 5 tuổi không ạ? (28/03/2025)
Trả lời:
Chào bạn, bệnh viện có tiếp nhận khám và tư vấn bàn chân bẹt cho trẻ em, bao gồm cả trẻ 5 tuổi. Bạn có thể đưa bé đến Khoa Khám bệnh của bệnh viện để được bác sĩ chuyên khoa thăm khám. Ngoài ra, để thuận tiện hơn, bạn có thể đặt lịch khám trước qua số điện thoại: 0988 270 115. Nếu cần hỗ trợ thêm, vui lòng liên hệ qua Zalo hoặc Fanpage Bệnh viện Việt Nam - Thụy Điển Uông Bí.
Xin cho em hỏi về các thông tin liên quan đến phẫu thuật cắt túi mật tại bệnh viện: thời gian mổ, thời gian hồi phục và chi phí dự kiến là bao nhiêu ạ? (14/03/2025)
Trả lời:
Chào bạn, Phẫu thuật cắt túi mật hiện nay thường được thực hiện bằng phương pháp nội soi, đây là một kỹ thuật ít xâm lấn, an toàn và phổ biến.
Em muốn mua thuốc, bệnh viện mình có hỗ trợ gửi thuốc về nhà không ạ? (04/02/2025)
Trả lời:
Chào bạn, Hiện tại bệnh viện không hỗ trợ gửi thuốc về nhà. Việc cấp phát thuốc tại bệnh viện được thực hiện theo đơn thuốc của bác sĩ sau khi thăm khám trực tiếp.
THỐNG KÊ TRUY CẬP
  • Số người online: 26
  • Tổng truy cập: 24.763.367
Bị thủng dạ dày do mảnh cành cây
Cập nhật: 11/11/2025
Lượt xem: 25
Các bác sĩ Bệnh viện Việt Nam – Thụy Điển Uông Bí vừa tiếp nhận và xử trí thành công một trường hợp người đàn ông bị thủng dạ dày do nuốt phải dị vật là mảnh cành cây có trong thang thuốc lá tự sắc uống tại nhà.
 

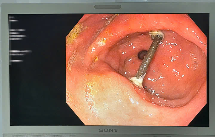
Mảnh cành cây 2 đầu cắm vào thành dạ dày


Dị vật được lấy ra khỏi dạ dày của người bệnh

Người bệnh là ông T.V.T. (54 tuổi, trú tại Lưu Kiếm, TP. Hải Phòng). Trước đó, người bệnh T. thường xuyên bị đau vùng thượng vị và nghe theo lời mách của người quen, đã mua thuốc nam về tự sắc uống.

Sau khi sử dụng, ông T. xuất hiện đau bụng tăng dần trong 4 ngày, nên đến khám tại Bệnh viện Việt Nam – Thụy Điển Uông Bí.

Qua khai thác tiền sử và thăm khám, các bác sĩ nghi ngờ người bệnh có dị vật đường tiêu hóa và chỉ định nội soi dạ dày. Kết quả cho thấy, tại vị trí hang vị có dị vật dạng que dài khoảng 5cm, cắm sâu hai đầu vào thành dạ dày.

Các bác sĩ đã tiến hành cầm máu và gắp dị vật ra ngoài an toàn. Dị vật được xác định là một mảnh cành cây khô.

Các bác sĩ khuyến cáo: người dân cần thận trọng khi ăn uống, để tránh hóc, sặc dị vật, đặc biệt là khi sử dụng các loại thuốc nam, thuốc lá không rõ nguồn gốc. Những loại thuốc này chưa được khoa học kiểm chứng, tiềm ẩn nguy cơ cao gây ra biến chứng nghiêm trọng cho sức khỏe, thậm chí đe dọa tính mạng người sử dụng.

Các bài viết khác
Hai lần đột quỵ – Hai lần hồi sinh nhờ đến viện kịp thời!(49 lượt xem)Giúp người phụ nữ thoát khỏi khối u mỡ khổng lồ ở lưng(41 lượt xem)Người phụ nữ bị bỏng kết giác mạc do dung dịch ủ chấy(75 lượt xem)Thư mời chào giá ngày 03/11 gói thầu số 08: Bảo hiểm công trình(39 lượt xem)Lịch khám bệnh theo yêu cầu - Khoa Khám bệnh ( 03/11 - 8/11/2025 )(47 lượt xem)Trung tâm Kiểm chuẩn chất lượng xét nghiệm Y học – Đại học Y Hà Nội đánh giá chất lượng phòng xét nghiệm tại Bệnh viện Việt Nam – Thụy Điển Uông Bí(75 lượt xem)Vảy nến có thể kiểm soát được khi người bệnh được điều trị đúng, sớm và đủ(70 lượt xem)Cảnh báo chấn thương từ vật nuôi trong nhà(70 lượt xem)Tự pha nước muối nhỏ mắt, người đàn ông phải nhập viện(104 lượt xem)Bệnh nhi nuốt móc khóa vào bụng, được bác sĩ kịp thời gắp ra an toàn(105 lượt xem)Lịch khám bệnh theo yêu cầu - Khoa Khám bệnh ( 27/10 - 01/11/2025 )(69 lượt xem)Thư mời chào giá ngày 27/10/2025 đơn vị kiểm toán độc lập dự án Sửa chữa tầng 1, hệ thống nhà vệ sinh khu nhà DII(61 lượt xem)Hiệu quả của điều trị phục hồi chức năng trên người bệnh gãy xương sườn(87 lượt xem)Người phụ nữ bị nhiễm trùng sau khi cấy chỉ tại cơ sở không uy tín(69 lượt xem)Báo động đỏ toàn viện, cứu sống ca bệnh với vết thương phức tạp vùng cổ(100 lượt xem)Thư mời chào giá ngày 22/10/2025 gói thầu Tư vấn giám sát thi công xây dựng(125 lượt xem)Thư mời chào giá ngày 21/10/2025 đơn vị cung cấp dịch vụ đo kiểm, quan trắc môi trường lao động năm 2025(218 lượt xem)Người đàn ông bị bỏng nặng do đốt rác bằng xăng(111 lượt xem)Hưởng ứng ngày loãng xương thế giới 20/10: Chăm sóc xương khớp – Trao gửi yêu thương cho phụ nữ(110 lượt xem)Lịch khám bệnh theo yêu cầu - Khoa Khám bệnh ( 20/10 - 25/10/2025 )(82 lượt xem)“Nhặt được của rơi, trả người bị mất” - Lan tỏa những hành động đẹp(130 lượt xem)Cảnh báo nguy cơ từ việc tự ý dùng thuốc(115 lượt xem)Khối u lớn vùng khuỷu tay do hạt tophy gout(109 lượt xem)Yêu cầu báo giá ngày 15/10/2025 gói thầu Mua sắm dịch vụ sửa chữa máy siêu âm tổng quát Hitachi F37 và máy X-quang di động GE XR240 năm 2025(44 lượt xem)Cảnh báo gia tăng trẻ nhiễm RSV: Tác nhân thầm lặng gây viêm phổi ở trẻ nhỏ(132 lượt xem)Lịch khám bệnh yêu cầu - Khoa Khám bệnh ( 13/10 - 18/10/2025 )(78 lượt xem)Hướng đến Y tế số toàn diện, vì sự hài lòng của người bệnh(111 lượt xem)
BỆNH VIỆN VIỆT NAM-THỤY ĐIỂN
UÔNG BÍ
 Địa chỉ: Đường Tuệ Tĩnh, Phường Uông Bí, Quảng Ninh
 Điện thoại: 02033.854038​​​​​​​
 Fax: 02033.854190​​​​​​​
 Email: bvub.qn@gmail.com​​​​​​​
 Website: www.vsh.org.vn
 
Cơ quan chủ quản: UBND tỉnh Quảng Ninh
Bản quyền thuộc về Vsh.org.vn Giấy phép số 186/GPTTĐT-STTTT ngày 24/10/2024 của Sở Thông tin & Truyền thông
Thiết kế website    SEO -  Tất Thành
BẢN ĐỒ ĐƯỜNG ĐI
MẠNG XÃ HỘI
FANPAGE FACEBOOK